症例集|患者さま一人ひとりに向き合う精密で幅広い治療を行なう石川県金沢市浅野本町にあるリノデンタルオフィス金沢

石川県金沢市浅野本町ロ151-1 | 月~土 9:00~13:00/14:00~18:00 tel.076-252-6020

業者様専用電話:070-5575-8211

Instagram
WEB予約 治療相談受付

症例集 Case

Case 症例集

○ 掲載されている症例はすべて、当院で治療を完了し、サイト掲載の許可をいただいた患者さまのものです。
○ トリミング(切り抜き)などを除き、画像の修正は行なっていません。
○ 治療はすべて各患者さま固有の症例に対応したものであり、他の方への治療結果を保証するものではありません。

先天性欠損によるインプラント埋入治療

  • 年齢20歳
  • 性別男性
  • 治療期間2ヵ月
  • 費用800,000円
先天性欠損によるインプラント埋入治療 before1 先天性欠損によるインプラント埋入治療 after1
先天性欠損によるインプラント埋入治療 before2 先天性欠損によるインプラント埋入治療 after2
先天性欠損によるインプラント埋入治療 before3 先天性欠損によるインプラント埋入治療 after3
先天性欠損によるインプラント埋入治療 before4 先天性欠損によるインプラント埋入治療 after4

矯正+サイナスリフト ブロック骨移植

  • 年齢32歳
  • 性別女性
  • 治療期間3年
  • 費用2,600,000円
矯正+サイナスリフト ブロック骨移植 before1 矯正+サイナスリフト ブロック骨移植 after1
矯正+サイナスリフト ブロック骨移植 before2 矯正+サイナスリフト ブロック骨移植 after2

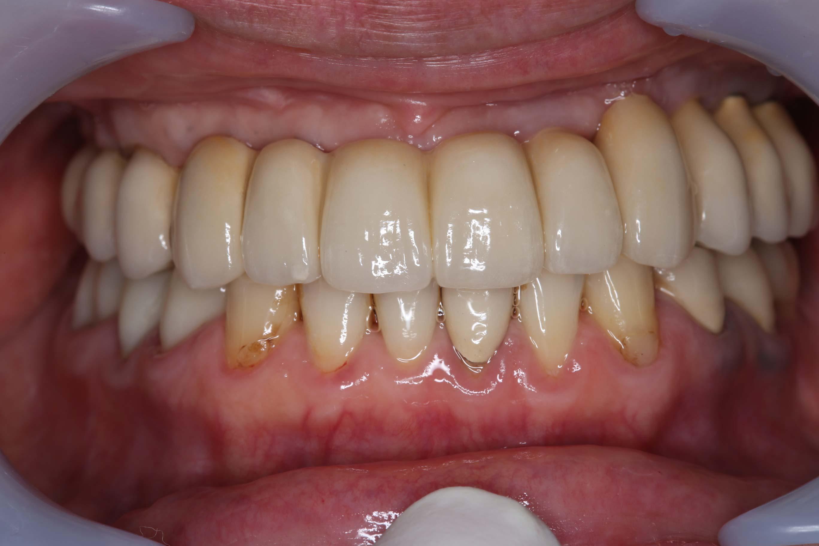
抜歯即時埋入・即時荷重

  • 年齢52歳
  • 性別男性
  • 治療期間4ヵ月
  • 費用2,800,000円
抜歯即時埋入・即時荷重 before1 抜歯即時埋入・即時荷重 after1
抜歯即時埋入・即時荷重 before2 抜歯即時埋入・即時荷重 after2

抜歯即時埋入・即時荷重

  • 年齢50歳
  • 性別女性
  • 治療期間4ヵ月
  • 費用3,400,000円
抜歯即時埋入・即時荷重 before3 抜歯即時埋入・即時荷重 after3
抜歯即時埋入・即時荷重 before4 抜歯即時埋入・即時荷重 after4
インプラント埋入治療におけるリスク

※インプラント埋入治療におけるインプラント(人工歯根)の埋入による主なリスク・副作用として、手術後、まれに歯肉・歯・舌・唇・頬の感覚が一時的に麻痺することがあります。また、まれに近接する歯・顎・鼻腔・上顎洞(鼻腔の両側の空洞)の炎症、疼痛、過敏症、組織治癒の遅延および顔面部の内出血が現れることがあります。
※手術後、薬剤の服用によりめまい、眠気、吐き気、お腹が緩くなるなど一時的な副作用が現れることがあります。
※手術後3~4日経ち、抗生物質や消炎鎮痛剤がなくなると傷口が腫れてきますが、ほとんどの場合、1週間ほどで治ります。
※手術後、喫煙や飲酒をすると治療の妨げとなるので、1週間は控えてください。
※インプラントの耐用年数は、天然歯と同じく口腔衛生状態(骨量、歯肉量、咬み合わせ、咬合力、歯磨き、メンテナンス、喫煙の有無、喫煙者の協力度など)により異なります。
※毎日の清掃が不充分だった場合、インプラント周囲炎(歯肉の腫れや骨吸収など)を引き起こすことがあります。
※骨と結合せずインプラントが脱落した場合、当院の保証範囲内で再治療を行ないます。ただし、原因が清掃不良・喫煙・顎骨の不良による難症例の場合は、再治療費をご請求いたします。再治療を行なうので、治療期間は長くなります。

WEB予約 治療相談受付
tel.076-252-6020

業者様専用電話:070-5575-8211

Instagram